Filip em

Intravenous Pyelogram

Article
Kidney & Bladder Health
Radiology Procedures
+2
Contributed byKrish Tangella MD, MBAJan 18, 2019

Background Information:

What are the other Names for the Procedure?

  • IVP (Intravenous Pyelogram)

What is Procedure Intravenous Pyelogram radiology procedure? (General Explanation)

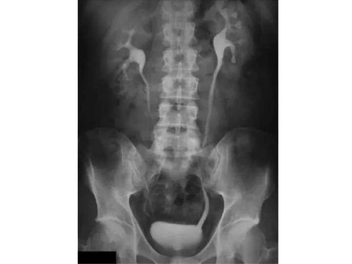
  • Intravenous Pyelogram (IVP) is an X-ray examination of the kidney, ureter, and bladder
  • The procedure uses a contrast material which is injected into the patient’s vein
  • The contrast material collects in the kidney and urinary tract and is displayed on X-ray images, which could be used to interpret the anatomy and function of these organs

What part of the Body does the Procedure involve?

The IVP procedure involves X-ray exposure to the lower abdominal and groin region.

Why is the Intravenous Pyelogram radiology procedure Performed?

  • The Intravenous Pyelogram procedure helps to evaluate the anatomy and function of kidney, urinary tract, and urinary bladder
  • It helps in detecting various health conditions, such as kidney stones, surgery on urinary tract, enlarged prostate, blood in the urine, congenital anomalies of the urinary tract, and tumors in the kidney or urinary tract

What is the Equipment used? (Description of Equipment)

The following equipment is used in the Intravenous Pyelogram procedure:

Fluoroscopy:

  • An X-ray machine is used in fluoroscopy
  • An examination table
  • A monitor to view the examination in real-time

A fluoroscope converts the X-rays into video images and provides real-time video images, as the exam progresses.

What are the Recent Advances in the Procedure?

There have been no recent advances to the IVP procedure.

What is the Cost of performing the Intravenous Pyelogram radiology procedure?

The cost of Intravenous Pyelogram (IVP) procedure depends on a variety of factors, such as the type of your health insurance, annual deductibles, co-pay requirements, out-of-network and in-network of your healthcare providers and healthcare facilities.

In many cases, an estimate may be provided before the procedure. The final amount depends upon the findings during the surgery/procedure and post-operative care that is necessary.

When do you need a Second Opinion, prior to the Procedure?

  • It is normal for a patient to feel uncomfortable and confused with a sudden inflow of information regarding the Intravenous Pyelogram procedure and what needs to be done
  • If the patient needs further reassurance or a second opinion, a physician will almost always assist in recommending another physician
  • Also, if the procedure involves multiple steps or has many alternatives, the patient may take a second opinion to understand and choose the best one. They can also choose to approach another physician independently

What are some Helpful Resources?

http://www.ncbi.nlm.nih.gov/pubmed/25381044 (accessed on 07/20/2015)

http://www.ncbi.nlm.nih.gov/pubmed/25045447 (accessed on 07/20/2015)

http://www.ncbi.nlm.nih.gov/pubmed/24995212 (accessed on 07/20/2015)

Prior to Intravenous Pyelogram radiology procedure:

How does the Intravenous Pyelogram radiology procedure work?

The Intravenous Pyelogram procedure works in the following manner:

  • The IVP exam involves injecting a contrast dye through the patient’s veins and it gets collected in the kidney, ureters, and urinary bladder
  • The X-ray machine is used to produce images after the contrast material has reached the targeted organs
  • The X-ray machine passes radiation through the organs and images are produced on the monitor connected to the machine
  • A fluoroscopic procedure uses X-ray images, which are converted into real-time images that show the contrast material passing through kidneys and urinary tract

How is the Intravenous Pyelogram radiology procedure Performed?

The Intravenous Pyelogram (IVP) procedure is performed as follows:

  • The IVP is performed on an outpatient basis
  • The patient lies down in a supine position on the X-ray table
  • IV access is obtained in the patient’s arm and a contrast material is injected through the vein
  • Images are taken using the X-ray machine, as contrast material is passing through the kidneys and urinary tract, and until the contrast material is emptied by these organs
  • An X-ray technician may put a compression belt around the patient’s body to visualize the urinary system structure better
  • Once the required images are taken, the IV line is removed and patient is asked to wait in the waiting area, until it is determined that no more images are needed

Where is the Procedure Performed?

The Intravenous Pyelogram procedure is performed as an outpatient procedure, at a hospital.

Who Performs the Procedure?

A radiology technician performs the Intravenous Pyelogram procedure under the guidance of a radiologist or an urologist.

How long will the Procedure take?

  • The Intravenous Pyelogram procedure takes about an hour to complete
  • Sometimes, when the kidney function is slow, the kidneys may take longer to get rid of the injected contrast material. In such cases, the IVP procedure may take up to 4 hours

Who interprets the Result?

The radiologist interprets the results of the IVP procedure.

What Preparations are needed, prior to the Procedure?

The following preparations may be needed prior to the Intravenous Pyelogram procedure:

  • The physician may evaluate the individual’s medical history to gain a comprehensive knowledge of the overall health status of the patient, including information related to the medications that are being currently taken
  • Do inform the medical professional if you have a history of any medical conditions, such as a heart disease, asthma, diabetes, or kidney disease
  • Do inform the medical professional about any allergies, especially related to barium or iodinated contrast material, which may be used in the procedure
  • Women should notify the physician, if they are pregnant or breastfeeding their child; as many such procedures may not be performed on pregnant women
  • Depending on the procedure adopted, the patient may be asked for certain bowel or bladder preparations before the preparation sessions
  • The patient may be asked to avoid eating or drinking several hours before the test
  • It is recommended to notify the physician about any implants or metal objects in the body, such as a pacemaker, nerve simulators, surgical staples, or artificial heart valves, braces, or dyed tattoos, as they may interfere with the imaging, in some cases

What is the Consent Process before the Procedure?

A physician will request your consent for the Intravenous Pyelogram procedure using an Informed Consent Form.

Consent for the Procedure: A “consent” is your approval to undergo a procedure. A consent form is signed after the risks and benefits of the procedure, and alternative treatment options, are discussed. This process is called informed consent. 

You must sign the forms only after you are totally satisfied by the answers to your questions. In case of minors and individuals unable to personally give their consent, the individual’s legal guardian or next of kin, shall give their consent for the procedure.

What are the Benefits versus Risks, for this Procedure?

Following are the benefits of the Intravenous Pyelogram procedure:

  • It is minimally invasive procedure
  • No radiation remains in the patient’s body after the procedure
  • An IVP provides detailed information about the anatomy and function of kidneys to diagnose various medical conditions

Following are the risks of the Intravenous Pyelogram procedure:

  • IVP uses contrast material which may cause allergic reactions in some susceptible individuals
  • There is a very minimal risk of cancer from the radiation used during the procedure

What are the Limitations of the Intravenous Pyelogram radiology procedure?

Following are the limitation of the Intravenous Pyelogram procedure:

  • The use of IVP in pregnant women is limited
  • An ultrasound examination is usually preferred to evaluate kidney and urinary tract in pregnant women and children
  • Small urinary tract tumors and kidney stones may be difficult to visualize using the IVP procedure. In such cases, a CT or MRI scan is used to improve visualization
  • A CT or MRI scan can provide information about the surrounding structures (around the kidneys and urinary bladder), whereas an IVP only shows details of the insides of the organs

What are some Questions for your Physician?

Some of the basic questions that you might ask your healthcare provider or physician are as follows:

  • What is an Intravenous Pyelogram (IVP) procedure?
  • Why is this procedure necessary? How will it help?
  • How soon should I get it done? Is it an emergency?
  • Who are the medical personnel involved in this procedure?
  • Where is the procedure performed?
  • What are the risks while performing the procedure?
  • What are the complications that might take place during recovery?
  • What are the possible side effects from the procedure? How can I minimize these side effects?
  • How long will it take to recover? When can I resume normal work?
  • How many such procedures have you (the physician) performed?
  • Are there any lifestyle restrictions or modifications required after the procedure is performed?
  • Are there any follow-up tests, periodic visits to the healthcare facility required after the procedure?
  • Is there any medication that needs to be taken for life after the procedure?
  • What are the costs involved?

During the Intravenous Pyelogram radiology procedure:

What is to be expected during the Intravenous Pyelogram radiology procedure?

The following may be expected during the Intravenous Pyelogram procedure:

  • IVP is a minimally invasive procedure
  • The patient may feel a minor sting when the needle is inserted into the vein, to inject the contrast material
  • The patient may sense a warm feeling and mild itching as the contrast material is injected, but it may go away in a few minutes
  • Patients may be asked to change their positions during the procedure, in order to obtain better images
  • Patients will be asked to hold their breath during the procedure, to avoid any movement during imaging
  • They may also be asked to empty their bladder, so that additional images can be taken of the empty bladder
  • The injected contrast material is eliminated through urine; also, it does not have any color

What kind of Anesthesia is given, during the Procedure?

Anesthesia is rarely used during the Intravenous Pyelogram procedure.

How much Blood will you lose, during the Procedure?

Since Intravenous Pyelogram is a minimally-invasive procedure, there is no significant blood loss involved.

What are the possible Risks and Complications during the Intravenous Pyelogram radiology procedure?

  • The contrast material used during the procedure may cause allergic reactions in some patients
  • The patient should notify the radiologist, if itching is severe, persistent, and he/she starts to develop any breathing problem

What Post-Operative Care is needed at the Healthcare Facility after the Intravenous Pyelogram radiology procedure?

No specific post-operative care is needed at healthcare facility after the Intravenous Pyelogram procedure.

After the Intravenous Pyelogram radiology procedure:

What is to be expected after the Intravenous Pyelogram radiology procedure?

  • Contrast material used during the procedure is eliminated through urine; it does not cause any urinary discomfort
  • Patients may resume their normal activities immediately after the Intravenous Pyelogram procedure

When do you need to call your Physician?

If the patient is experiencing an allergic reaction from the contrast reaction, then do contact the physician immediately.

What Post-Operative Care is needed at Home after the Intravenous Pyelogram radiology procedure?

No specific post-operative care is needed at home after the Intravenous Pyelogram procedure.

How long does it normally take to fully recover, from the Procedure?

  • No recovery period is needed after the Intravenous Pyelogram procedure
  • The patient may resume their normal activities immediately after the procedure

Additional Information:

What happens to tissue (if any), taken out during the Procedure?

The IVP procedure does not involve the removal of any body tissue.

When should you expect results from the pathologist regarding tissue taken out, during the Procedure?

Since no tissue is removed during the procedure, a pathologist does not get involved in the care of the patient.

Who will you receive a Bill from, after the Intravenous Pyelogram radiology procedure?

It is important to note that the number of bills that the patient may receive depends on the arrangement the healthcare facility has with the physician and other healthcare providers. 

Sometimes, the patient may get a single bill that includes the healthcare facility and the consultant physician charges. Sometimes, the patient might get multiple bills depending on the healthcare provider involved. For instance, the patient may get a bill from:

  • The hospital, where the procedure is performed
  • Healthcare providers, physicians, and radiologists, who are involved in the process

The patient is advised to inquire and confirm the type of billing, before the Intravenous Pyelogram (IVP) procedure is performed.

Was this article helpful

On the Article

Krish Tangella MD, MBA picture
Approved by

Krish Tangella MD, MBA

Pathology, Medical Editorial Board, DoveMed Team

0 Comments

Please log in to post a comment.

Related Articles

Test Your Knowledge

Asked by users

Related Centers

Loading

Related Specialties

Loading card

Related Physicians

Related Procedures

Related Resources

Join DoveHubs

and connect with fellow professionals

Related Directories

Who we are

At DoveMed, our utmost priority is your well-being. We are an online medical resource dedicated to providing you with accurate and up-to-date information on a wide range of medical topics. But we're more than just an information hub - we genuinely care about your health journey. That's why we offer a variety of products tailored for both healthcare consumers and professionals, because we believe in empowering everyone involved in the care process.
Our mission is to create a user-friendly healthcare technology portal that helps you make better decisions about your overall health and well-being. We understand that navigating the complexities of healthcare can be overwhelming, so we strive to be a reliable and compassionate companion on your path to wellness.
As an impartial and trusted online resource, we connect healthcare seekers, physicians, and hospitals in a marketplace that promotes a higher quality, easy-to-use healthcare experience. You can trust that our content is unbiased and impartial, as it is trusted by physicians, researchers, and university professors around the globe. Importantly, we are not influenced or owned by any pharmaceutical, medical, or media companies. At DoveMed, we are a group of passionate individuals who deeply care about improving health and wellness for people everywhere. Your well-being is at the heart of everything we do.

© 2023 DoveMed. All rights reserved. It is not the intention of DoveMed to provide specific medical advice. DoveMed urges its users to consult a qualified healthcare professional for diagnosis and answers to their personal medical questions. Always call 911 (or your local emergency number) if you have a medical emergency!